Last updated: 28 ก.ย. 2564 | 534 จำนวนผู้เข้าชม |
สำนักงานการวิจัยแห่งชาติ (วช.) กระทรวงการอุดมศึกษา วิทยาศาสตร์ วิจัยและนวัตกรรม (อว.) จัดกิจกรรม NRCT Talk “เปิดบ้านงานวิจัยและนวัตกรรม By NRCT : รางวัลการวิจัยแห่งชาติ ครั้งที่ 9” โชว์สิ่งประดิษฐ์สีย้อมอสุจิ บี อาร์ จากสารสกัดข้าวเหนียวดำหนึ่งเดียวในโลก นวัตกรรมสำหรับผู้มีบุตรยาก ประยุกต์ใช้งานทางนิติวิทยาศาสตร์ ได้รับรางวัลการวิจัยแห่งชาติ ผลงานประดิษฐ์คิดค้น ระดับดี ประจำปี 2564 เผยช่วยลดต้นทุนผลิตภัณฑ์ทางการแพทย์ เพิ่มมูลค่าข้าวไทย

ดร.วิภารัตน์ ดีอ่อง ผู้อำนวยการสำนักงานการวิจัย กล่าวว่า กิจกรรมในครั้งนี้ วช.ได้จัดขึ้นอย่างต่อเนื่อง เป็นครั้งที่ 9 เพื่อเป็นการเชิดชูนักประดิษฐ์ที่สร้างสรรค์ผลงานที่มีคุณค่า เป็นประโยชน์ต่อประเทศ สร้างแรงจูงใจ และกระตุ้นให้นักวิจัย นักประดิษฐ์เกิดการพัฒนาศักยภาพ และสมรรถนะการผลิตผลงานวิจัย สิ่งประดิษฐ์ และนวัตกรรมที่มีคุณภาพ สามารถผลักดันการประโยชน์ได้อย่างเป็นรูปธรรม โดยในปี 2564 วช. ได้มอบรางวัลการวิจัยแห่งชาติ ประเภทผลงานประดิษฐ์คิดค้น ระดับดี สาขาการศึกษา ให้กับนวัตกรรม“สีย้อม บีอาร์”ของ ผศ.ดร.ฌลณต เกษตร อาจารย์ภาควิชาเทคนิคการแพทย์ คณะสหเวชศาสตร์ มหาวิทยาลัยธรรมศาสตร์ สำหรับนำไปใช้ตรวจอสุจิ สู่การแก้ไขปัญหาผู้มีบุตรยากและปัญหาอัตราการเกิดน้อย โดยใช้วัตถุดิบหลัก “เปลือกข้าวเหนียวดำ” นับเป็นผลงานที่มีคุณูปการต่อวงวิชาการ
สอดรับนโยบายของประเทศ และชีวิตความเป็นอยู่ของประชาชน


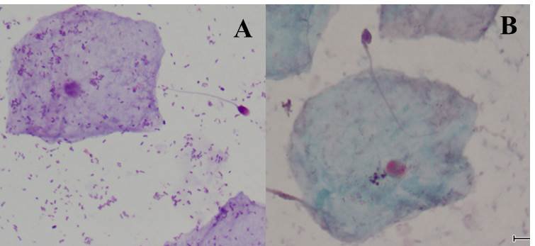
ผศ.ดร.ฌลณต เกษตร และผศ.ดร.สิรินารถ ชูเมียน นักวิจัยผู้คิดค้น เปิดเผยว่า การตรวจน้ำอสุจิในเพศชายเป็นส่วนหนึ่งในการเรียนการสอนวิชาจุลทรรศนศาสตร์ เป็นการคัดกรองเบื้องต้น เพื่อวิเคราะห์สภาวะการมีบุตรยากในเพศชาย ประเมินความสมบูรณ์ สัดส่วน รูปร่าง รวมถึงการเคลื่อนที่และจำนวนของอสุจิ ซึ่งจะต้องใช้สีย้อมในการตรวจดู แต่เนื่องจากสีย้อมนำเข้ามีราคาแพง ใช้งานยุ่งยาก และใช้เวลานาน ประกอบกับมีสารเคมีสังเคราะห์ที่ส่งผลกระทบต่อสุขภาพของผู้เรียนหรือผู้ใช้งาน ดังนั้น จึงได้พัฒนาชุดสีย้อมอสุจิจากสารสกัดธรรมชาติขึ้น โดยเลือกใช้ข้าวเหนียวดำเป็นส่วนประกอบสำคัญ ซึ่งหาได้ง่ายโดยทั่วไป มีความปลอดภัย ใช้งานง่าย และช่วยเพิ่มมูลค่าให้ข้าวไทยอีกทางหนึ่ง

การพัฒนาในครั้งนี้ยังเป็นการกระตุ้นการเรียนการสอนแบบ STEM ไปพร้อม ๆ กัน คือ การใช้ความรู้ทางวิทยาศาสตร์และเทคโนโลยีในการสกัดสี (Science,Technology) การออกแบบเครื่องย้อมอัตโนมัติ(Engineering) และการคำนวณสารต่าง ๆ ที่ใช้ในการสกัด (Mathematics) เป็นการบูรณาการความรู้ของภาควิชาเทคนิคการแพทย์ ผลลัพธ์ คือ ได้นวัตกรรมชุดย้อมสีอสุจี บีอาร์ (Sperm BR staining kit) ที่มีราคาถูกกว่าสีเคมีสังเคราะห์ ปลอดภัย ไร้สารพิษตกค้าง โดยปัจจุบันนำไปประยุกต์ใช้ในศูนย์ผู้มีบุตรยากของโรงพยาบาลธรรมศาสตร์เฉลิมพระเกียรติ เพื่อวางแผนและรักษาชายที่มีภาวะมีบุตรยากได้ตรงจุด หรือใช้ในกระบวนการทางนิติวิทยาศาสตร์ ที่ห้องปฏิบัติการเทคนิคการแพทย์โรงพยาบาลชลบุรี โดยใช้ย้อมตัวอย่างจากสำลีป้ายช่องคลอด กรณีผู้หญิงถูกกระทำชำเรา ซึ่งจะสามารถเป็นหลักฐานชี้ตัวผู้กระทำความผิดได้ จึงขอขอบคุณการสนับสนุนจาก วช. ในการพัฒนางานวิจัยในครั้งนี้

ท้ายที่สุด ทีมนักวิจัย สามารถคิดค้นสีย้อมอสุจิทดแทนการนำเข้าได้สำเร็จ และมีประสิทธิภาพสูงใกล้เคียงกับสีสังเคราะห์ที่ได้รับการยอมรับในระดับนานาชาติและประเทศ ถือเป็นงานวิจัยแรกของโลกที่ใช้สารสกัดธรรมชาติจากข้าวเหนียวดำ ในอนาคตคาดว่า สีย้อม บีอาร์นี้จะมีความจำเป็นมากขึ้น เนื่องจากการตรวจอสุจิในประเทศไทยมีความก้าวหน้าอย่างต่อเนื่อง และประชาชนมีความสนใจเพิ่มขึ้น โดยผู้ที่สนใจสามารถเดินทางเข้ามาตรวจได้ที่ คณะสหเวชศาสตร์ มหาวิทยาลัยธรรมศาสตร์ โดยขณะนี้มีความพร้อมพัฒนาและวิจัยร่วมกับภาครัฐหรือเอกชน อาทิ กรมการค้าระหว่างประเทศในการสร้าง Roadmap และร่วมมือกับมหาวิทยาลัยมหิดล พัฒนาสีย้อมให้เป็นรูปแบบผง เพื่อสะดวกในการใช้งาน ตอบโจทย์การผลิตเชิงพาณิชย์ พร้อมขยายการใช้งานไปสู่คลินิก หรือโรงพยาบาลในประเทศต่อไป





“โดยสารแอนโทรไซยานิน เป็นสารหลักที่สกัดได้จากเปลือกข้าวเหนียวดำ หรือแกลบ สามารถติดสีตัวอสุจิได้ดีที่สุด จึงใช้สารสกัดดังกล่าว ร่วมกับสารเพิ่มประจุบวก Potassium alum เพื่อไปจับกับสารพันธุกรรมประจุลบในนิวเคลียส วิธีการย้อม โดยนำน้ำอสุจิใส่ในภาชนะใช้แผ่นสไลด์จุ่ม รอให้แห้ง นำสีย้อมมาป้าย และส่องดูผ่านกล้องจุลทรรศน์ ถือว่าตอบโจทย์การแพทย์แม่นยำ สำหรับการตรวจระดับ DNA ได้อย่างรวดเร็วแม่นยำ โดยได้รับการจดสิทธิบัตรเป็นที่เรียบร้อย” ผศ.ดร.ฌลณต กล่าว